Digital X-Rays
Traditional dental X-rays use radiation to capture images of your teeth, mouth, and jaw. A digital X-ray uses digital technology instead of film to capture the images and emits significantly less radiation. The process is similar to the traditional one, but it’s done with a sensor rather than film.
The advantages of using digital X-rays are many. They are quicker and easier to process than traditional film X-rays. The images can be processed immediately by a computer, ensuring a faster turnaround time for your results. Plus, there’s no worry of losing the images like you would with film. Your files can be saved to a network or hard drive for safekeeping. No extra steps are needed to digitize your X-rays; the image is already there!
One of the most significant benefits of using digital X-rays is the amount of radiation you’re exposed to during the procedure. In fact, for a digital X-ray, you are exposed to less radiation than you would be from natural sources in the environment.

How Do Digital X-Rays Work?
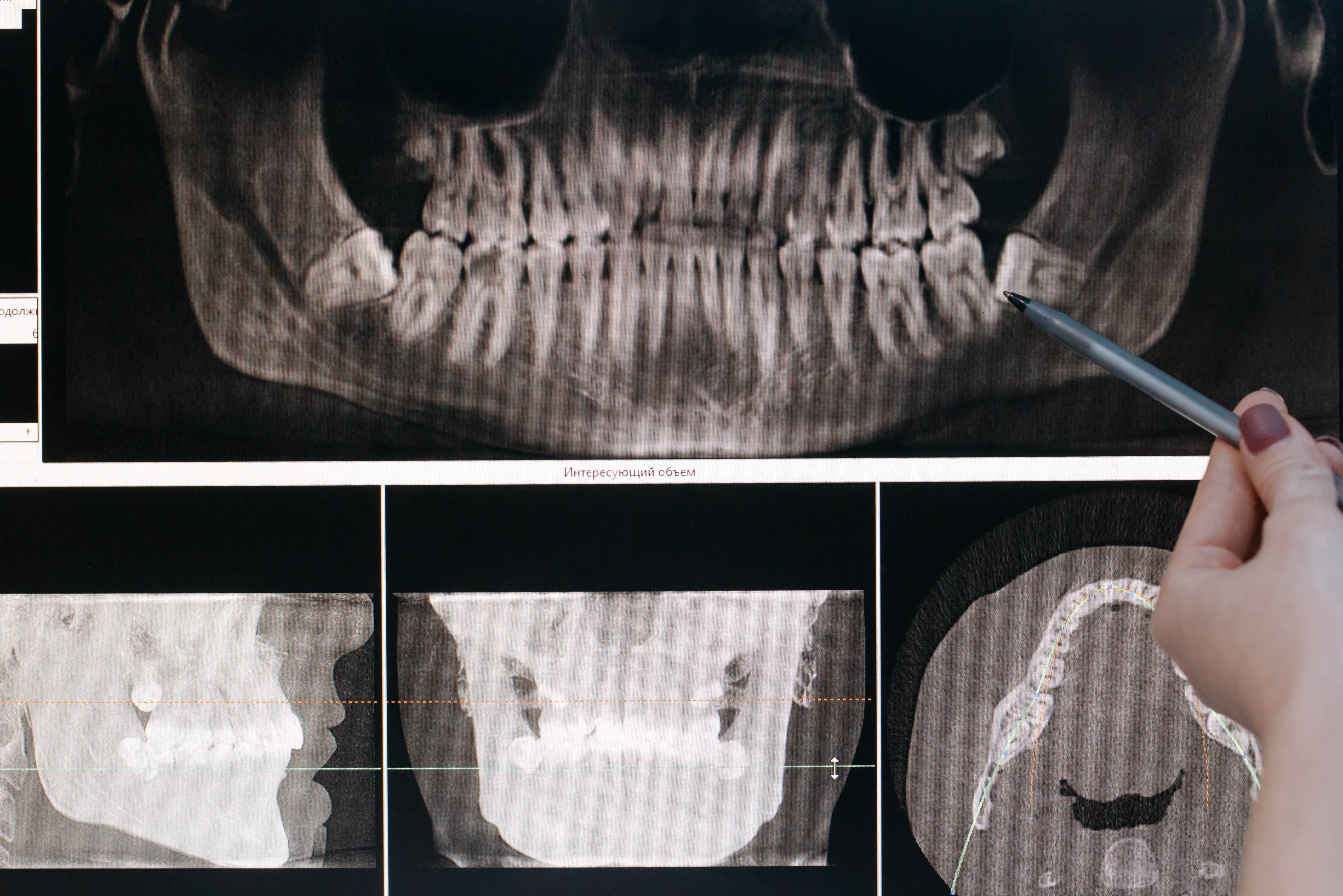
Traditional X-rays use a form of radiation to capture images of your teeth and oral structures, but the process can be time-consuming. They also expose you to more radiation than necessary. With digital X-rays, our dentist can capture images immediately using a small sensor placed in your mouth. This sensor is attached to a computer screen that allows us to view the images instantly.
The images are more precise and can also be sent electronically for further diagnosis or treatment. Our dentist can review the images with you and discuss any necessary procedures.

The digital images help our dentist identify problem areas in the mouth that wouldn’t be as visible during a visual exam or when using traditional X-rays. For example, the small sensor that captures these images can help the dentist see cavities between teeth. In addition, our dentist can adjust the images to help highlight specific areas of the mouth.
The Benefits of Digital X-Rays
There are several advantages to using digital technology to take dental X-rays. The primary advantage is enhanced image quality. Another benefit is that no films are needed, so patients are exposed to less radiation. In addition, they can immediately see the images of their teeth instead of having to wait for the film to develop.
Lastly, digital X-rays have a lower environmental impact due to the reduced use of chemicals, developing solutions, and plastic film. In addition, the images are stored digitally, which allows for more accessibility for dentists and technicians.
Digital X-rays are completely safe for adults and children. For more information about digital X-rays, contact Dr Be Smiles at 4511 N Midkiff Rd, Suite E-15, Midland, TX 79705, or call (432) 520-4867.

Location
4511 N Midkiff Rd, Suite E-15,
Midland, TX 79705
Office Hours
MON - FRI8:00 am - 5:00 pm
SATBy appointments only
SUNClosed